odontología avanzada
Casos Clínicos


Antes
Después
Blanqueamiento Diente no vital
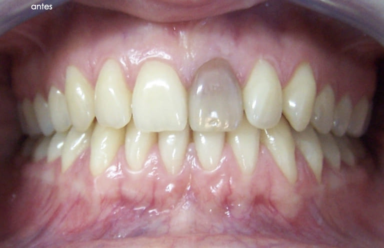
ANTES
Diente oscurecido tras la realización de un tratamiento de conductos donde el material de relleno quedó relativamente alto. Con el paso de los años el diente ha oscurecido.
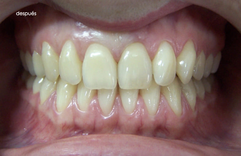
DESPUÉS
Realizamos limpieza del canal radicular hasta dejar el material de relleno a nivel de la raíz. Empleamos un agente blanqueante durante 7 dias. La solución más práctica y fiable a largo plazo.
Realizamos limpieza del canal radicular hasta dejar el material de relleno a nivel de la raíz. Empleamos un agente blanqueante durante 7 dias. La solución más práctica y fiable a largo plazo.


Antes
Después
Rehabilitación Oral con Coranas e implantes
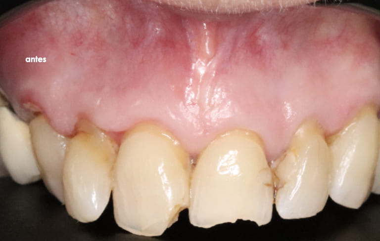
ANTES
Nos encontramos con una sonrisa gingival alta, recesiones gingivales, obturaciones antiguas. Se propone sanear los dientes, sustituir las obturaciones, colocar implantes en zonas ausentes. Para ello se realizó un estudio de sonrisa previo.
Nos encontramos con una sonrisa gingival alta, recesiones gingivales, obturaciones antiguas. Se propone sanear los dientes, sustituir las obturaciones, colocar implantes en zonas ausentes. Para ello se realizó un estudio de sonrisa previo.
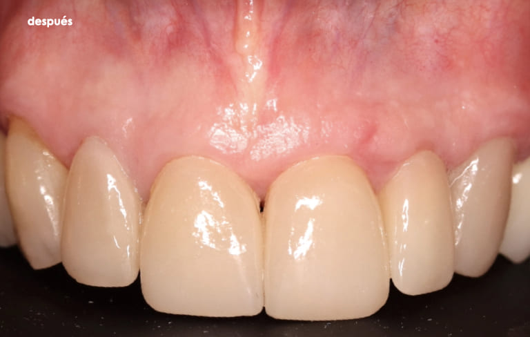
DESPUÉS
Se cementaron coronas de Disilicato de litio en los dientes naturales y Coronas de Circonio atornilladas directas a implantes conforme el estudio previo realizado. Se armonizó la sonrisa y se compensaron las retracciones gingivales que tanto complejo generaban a nuestra paciente.
Se cementaron coronas de Disilicato de litio en los dientes naturales y Coronas de Circonio atornilladas directas a implantes conforme el estudio previo realizado. Se armonizó la sonrisa y se compensaron las retracciones gingivales que tanto complejo generaban a nuestra paciente.


Antes
Después
Colocación Implante unitario
ANTES
Diente fracturado y sin posibilidad de mantener en boca. Se propuso la realización de un Implante inmediato postextracción con la técnica del Socket Shield para preservar la integridad de los tejidos.
DESPUÉS
Resultado final a 12 meses tras la realización del procedimiento. La paciente tuvo en todo momento su diente. Desde el primer momento de la implantación. No fue necesario sutura, ni biomateriales ni injerto de tejido conectivo.